Москва ваш город?
Да
Выбрать другой город

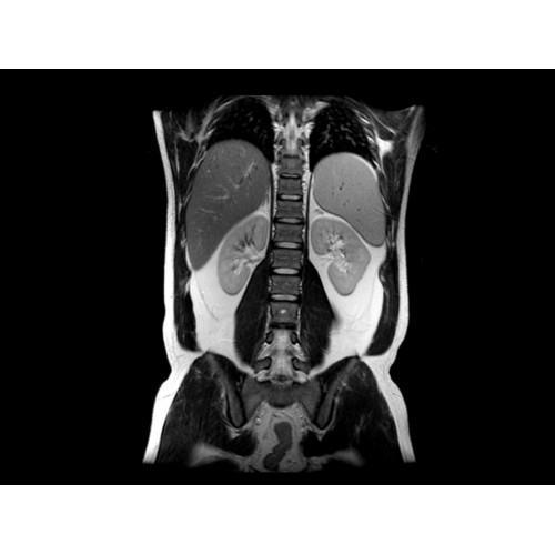
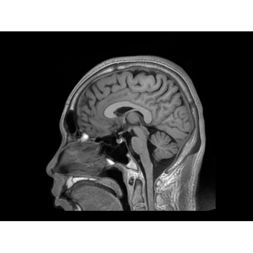
МРТ аппарат GE SIGNA Explorer 1.5T

В наличии
SIGNA Explorer 1.5T — новая МРТ система компании GE, которая позволит Вам выйти за пределы привычного и установить новые стандарты качества визуализации благодаря инновационным технологиям, расширяющим существующие возможности диагностики. Благодаря революционной технологии SilentScan и функции 3D-коррекции движения система SIGNA Explorer поднимает планку МР-визуализации на качественно новый уровень.
В корзине
Лизинг
Доставка и лизинг по всей России
Включая Дагестан, Чечню и Крым
Гарантия
Гарантия на медицинское оборудование от производителя!
Послепродажный сервис
Инженерная поддержка
Инструктаж по монтажу и обучение персонала включены в стоимость
Гибкие условия
Оперативная доставка
Лизинг и доставка оборудования в наличии от 1 рабоего дня

Новая система SIGNA Explorer от компании GE Healthcare предлагает пользователям оптимизированный рабочий процесс, простоту в использовании и высочайшее качество изображений. С её помощью Вы максимизируете свой клинический потенциал и расширите возможности визуализации и сделаете процедуру сканирования максимально комфортной для пациентов. С системой SIGNA Explorer Вы можете забыть о текущих ограничениях МР-технологий, ведь данная система поможет достичь новых высот в диагностике с помощью таких технологий как:

  • SilentScan революционная технология, которая бросает вызов устоявшимся методам, снижая уровень шума до уровня на 3 Дб выше шума окружающей среды.
  • OpTix Optical RF это высококачественная система цифрового преобразования сигнала и дальнейшей его передачи по оптоволокну, которая обеспечивает увеличение SNR5 на 27 % по сравнению со стандартными приемниками аналоговых сигналов, что способствует повышению качества изображения и клинической достоверности.
  • Пакеты приложений экспертного уровняускорят рабочий процесс и сделают сканирование более комфортным для Ваших пациентов.

Расширенные возможности клинического применения

  • Центральная нервная система

    Независимо от Вашего опыта приложение READY Brain поможет выбрать в качестве приоритета скорость исследования или качество изображения. PROPELLER предназначен для подавления артефактов движения, а Cube заменяет несколько 2D-последовательностей одним объемным 3D-сканированием.

  • Позвоночник

    Широкое анатомическое покрытие и методы коррекции артефактов позволяют получать четкие изображения без искажений вызванных непроизвольными движениями пациента и током спинномозговой жидкости.

  • Опорно-двигательная система

    Получайте четкие изображения без артефактов движения. Приложение Cartigram позволяет неинвазивно исследовать внеклеточный матрикс хрящевой ткани.

  • Тело

    Расширенные возможности диффузно-взвешенной визуализации высокого разрешения (eDWI) и мультиконтрастной визуализации позволяют выполнять не только комплексные обследования всего тела, но и билатеральную визуализацию молочных желез.

  • Сосуды

    Улучшенная визуализация сосудов с помощью надежных импульсных последовательностей, разработанных для удобства пользователя и не требующих обязательного применения контрастных веществ.

Клинические приложения

  • Inhance — бесконтрастная ангиография для визуализации артериального и венозного кровотока.
  • IDEAL IQ — технология сбора данных и реконструкции, позволяющая генерировать карты содержания жира в исследуемой анатомической области и построения кривых затухания сигнала в режиме Т2.
  • VIBRANT — технология, позволяющая одновременно визуализировать обе молочные железы с жироподавлением и высокой четкостью в аксиальной и сагиттальной проекциях.
  • StarMap — неинвазивная оценка содержания железа в сердце и печени.
  • PROPELLER — коррекция артефактов движения и чувствительности, минимизирующая необходимость в седации.
  • Cube — заменяет несколько 2D-сканирований одним объемным 3D-изображением.
  • 3D PROMO — обеспечивает коррекцию артефактов движения в 3D в режиме реального времени с помощью уникального алгоритма, который минимизирует необходимость в повторном сканировании в ходе неврологического обследования.
  • MAVRIC SL — расширенная визуализация мягких тканей и костей, расположенных рядом с МР-совместимыми металлическими имплантами.
  • MR Touch — неинвазивная оценка плотности ткани печени. Изображения сканируются менее чем за 15 минут.

Максимизируйте рентабельность своей практики

Освободитесь от эксплуатационных ограничений, налагаемых стандартной технологией МРТ, чтобы добиться неизменно высокого качества изображений и оптимизировать рабочий процесс с помощью системы SIGNA Explorer. Интуитивно понятный интерфейс и автоматически настраиваемые инструменты сканирования упрощают доступ к разнообразным функциям МР-томографа, позволяя создавать однородные изображения высокого качества.

Надежные приложения не только гарантируют неизменно высокое качество изображений, но также помогают оптимизировать рабочий процесс. Используя простые в применении средства и инновационные приложения SIGNA Explorer Вы сможете оптимизировать рабочий процесс и увеличить пропускную способность отделения.

Система Signa Explorer поможет повысить окупаемость Ваших вложений. Она не только потребляет меньше энергии, но и занимает меньше места, по сравнению с МРТ аппаратами предыдущего поколения. Благодаря простоте управления и другим оптимизированным функциям, Вы сможете уверенно управлять эксплуатационными расходами.

Характеристики
Мощность:
1.5 тесла
Общие
Категория:
МРТ-аппараты, Полуоткрытые аппараты МРТ, МРТ аппараты для животных
Бренд:
GE Healthcare
Онлайн калькулятор
Цена
Ориентировочная цена модели
Аванс
10% 100%
 
Срок лизинга
12 месяцев 36 месяцев
 
Ежемесячный платёж
Первоначальный взнос
* Рассчет платежа носит информационный характер и не является публичной офертой.
Условия лизинга индивидуальны для каждого договора.
Условия лизинга
  • По всей России (Включая Крым, Дагестан и Чечню)
  • Авансовый платеж от 10% (для УЗИ брендов GE, Mindray и Samsung)
  • Оформление лизинга от 48 часов
  • Возможность досрочного погашения
  • Лизинг оборудования от 1 года

Тип магнита CXK4 LCC Magnet
Градиентная система HDx
Вес магнита 3,6 тонн
Количество каналов 16
Количество электронных шкафов 2
Охлаждающее вещество Жидкий гелий
Частота замены охлажд. вещества Один раз в 18 месяцев
Необходимая площадь помещения Минимум 33 кв. м
Необходимая высота потолка Минимум 2,5 м
Давайте обсудим
Покупку или лизинг
медицинского оборудования